Lupus Erythematosus Cell

Introduction

LE (Lupus Erythematosus) cell phenomenon ek classical immuno-hematological finding hai jo autoimmune diseases ke saath associated hota hai.

Is phenomenon ko pehli baar 1948 mein Hargraves et al. ne describe kiya, jo autoimmunity ko samajhne mein ek major milestone maana jata hai.

Yeh phenomenon sabse zyada systemic lupus erythematosus (SLE) ke saath linked hota hai.

LE cell formation ek antibody-mediated immune complex reaction ko represent karta hai jisme nuclear material involved hota hai.

Yeh antinuclear antibodies (ANA) ki presence ko demonstrate karta hai jo nuclear components ke against directed hoti hain.

LE cell khud ek normal phagocytic cell (neutrophil ya macrophage) hota hai, koi diseased cell nahi hota.

Jo material ingest hota hai usse hematoxylin body kehte hain, jo damaged ya denatured cell nuclei se derive hota hai.

Historically, LE cell test SLE diagnose karne ke liye use hone wale earliest laboratory tests mein se ek tha.

Low sensitivity aur specificity ki wajah se, aaj isse modern immunological assays ne replace kar diya hai.

Present time mein, LE cell phenomenon ka academic aur teaching importance hai, jo autoimmune disorders ke pathogenesis ko samajhne mein help karta hai.

For English, click here


Historical Background

  • Sabse pehle 1948 mein Hargraves et al. ne describe kiya

  • SLE mein autoimmune mechanism ka pehla laboratory proof provide kiya

  • Clinical medicine mein autoimmune diagnostics ki shuruaat mark ki


Definition of LE Cell

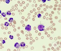
LE (Lupus Erythematosus) cell ek neutrophil ya macrophage hota hai jo denatured nuclear material ko phagocytose karta hai, jise hematoxylin body (LE body) kehte hain, aur yeh material antinuclear antibodies (ANA) se coated hota hai.

Key point:

LE cell khud diseased nahi hota. Yeh ek normal phagocytic cell hota hai jo autoantibody-mediated nuclear damage ke due to bane abnormal immune complexes par react karta hai.


Hematoxylin Body

Hematoxylin body, jise LE body bhi kehte hain, woh altered nuclear material hota hai jo LE cell formation ko trigger karta hai.

Origin

  • Damaged ya apoptotic cell nuclei se derive hota hai

  • Nuclear components (DNA, histones, nucleoproteins) expose ho jaate hain aur antibody-coated ho jaate hain

Morphological Features

Hematoxylin body typically is tarah se dikhta hai:

  • Homogeneous

  • Round ya oval

  • Smooth aur structureless

  • Basophilic (Wright/Giemsa ya hematoxylin staining par deep purple–blue)

  • Nuclear chromatin details ka loss (koi visible nucleoli ya chromatin pattern nahi hota)

Microscopic Significance

  • Denatured nuclear material ko represent karta hai

  • LE cell ka central diagnostic component hai

  • Tart cells se LE cells ko distinguish karta hai (tart cells mein intact nuclei hote hain)

 


Pathogenesis of LE Cell Formation


Step-by-Step Pathogenesis

1. Cellular Injury and Nuclear Material Release

SLE mein increased apoptosis ya cell damage hota hai.

Apoptotic cells ka defective clearance hone ki wajah se nuclear debris (DNA, histones, nucleoproteins) extracellular spaces mein persist karta rehta hai.


2. Formation of Antinuclear Antibodies (ANA)

Self-tolerance ka loss hone se ANA ka production hota hai jo against hote hain:

  • Double-stranded DNA

  • Histones

  • Nucleoproteins

Yeh antibodies patient ke serum mein freely circulate karti hain.


3. Antigen–Antibody Complex Formation

ANA, damaged cells se release hue exposed nuclear antigens se bind karti hain.

Is binding se immune complexes bante hain jisme include hota hai:

  • Nuclear material

  • Immunoglobulins (mainly IgG)


4. Complement Activation and Opsonization

Immune complexes classical complement pathway ko activate karte hain.

Complement components (C3b) complexes ko coat kar dete hain, jisse opsonization enhance hota hai.


5. Conversion into Hematoxylin Body (LE Body)

Bound antibodies nuclear material ka denaturation aur homogenization kar deti hain.

Nuclear chromatin apni structure lose kar deta hai aur ek:

  • Smooth

  • Round

  • Homogeneous

  • Basophilic mass

ban jaata hai jise hematoxylin body kehte hain.


6. Phagocytosis by Neutrophils or Macrophages

Opsonized hematoxylin bodies ko recognize kiya jaata hai:

  • Fc receptors

  • Complement receptors

Neutrophils (most common) ya macrophages is hematoxylin body ko engulf kar lete hain.


7. Formation of the LE Cell

Jis phagocyte ke andar hematoxylin body ingest hoti hai, woh LE cell ban jaata hai.

Cell ka apna nucleus:

  • Periphery ki taraf push ho jaata hai

  • Crescent-shaped ya flattened ho jaata hai

 


Methods of Demonstration of LE Cell Phenomenon


Peripheral Blood Smear Method

Principle

Systemic lupus erythematosus (SLE) ke patients mein, blood mein present antinuclear antibodies (ANA) exposed nuclear material ke saath react karti hain, jisse hematoxylin bodies banti hain. Inhe neutrophils ya monocytes phagocytose kar lete hain aur peripheral blood smear mein directly visualize kiya ja sakta hai.

Procedure

  • Patient se fresh venous blood collect karo

  • Clean glass slide par thin peripheral blood smear banao

  • Smear ko air-dry hone do

  • Stain use karo:

    • Wright stain ya

    • Giemsa stain

  • Smear ko examine karo:

    • Low power (screening)

    • Oil immersion (confirmation)

Microscopic Findings

  • Kabhi-kabhi LE cells dikhte hain

  • Typical features:

    • Neutrophil jisme round, homogeneous, basophilic hematoxylin body hoti hai

    • Cell ka apna nucleus periphery ki taraf displaced hota hai

  • LE cells scanty aur infrequent hote hain

Interpretation

Finding Significance
LE cell present Autoimmune activity suggest karta hai
LE cell absent SLE ko rule out nahi karta

Advantages

  • Simple aur rapid method

  • Koi special equipment required nahi

  • Routine hematology lab mein possible

Limitations

  • Very low sensitivity

  • LE cells rarely present hote hain

  • High false-negative rate

  • Positivity ke liye active disease required

  • Screening test ke liye suitable nahi

 


Buffy Coat Technique

Principle

Jab SLE patient ka whole blood clot hone diya jaata hai aur incubate kiya jaata hai, to damaged leukocytes se nuclear material release hota hai.
Serum mein present ANA is nuclear material se bind karke immune complexes banati hain, jo baad mein neutrophils dwara phagocytose ho jaate hain aur LE cells bante hain.
Buffy coat leukocytes se rich hota hai, isliye LE cells detect hone ki probability zyada hoti hai.

Procedure

  • 5–10 mL venous blood plain tube (without anticoagulant) mein collect karo

  • Blood ko room temperature par clot hone do

  • Glass rod se clot ko mechanically disrupt karo

  • Disrupted clot ko 37°C par 1–2 ghante incubate karo

  • Sample ko centrifuge karo

  • Buffy coat layer (plasma aur RBCs ke beech) carefully collect karo

  • Buffy coat se smear banao

  • Air-dry aur stain karo:

    • Wright stain ya

    • Giemsa stain

  • Oil immersion microscopy mein examine karo

Microscopic Findings

  • Numerous LE cells dikh sakte hain

  • Typical features:

    • Neutrophil ya macrophage

    • Large, homogeneous, basophilic hematoxylin body

    • Nucleus periphery ki taraf displaced

Advantages

  • Peripheral smear se higher sensitivity

  • Classical aur well-established method

  • Advanced immunological equipment ki zarurat nahi

  • Demonstration aur teaching ke liye useful

Limitations

  • Time-consuming

  • Careful handling aur incubation required

  • Low specificity

  • False negatives aa sakte hain

  • Routine clinical practice mein obsolete

 


Bone Marrow Smear Examination

Principle

SLE patients mein, ANA damaged cells se release hue nuclear material se bind karti hain.
Bone marrow environment mein, yeh antibody-coated nuclear material macrophages ya neutrophils dwara efficiently phagocytose ho jaata hai, jisse LE cells bante hain, jo marrow smears mein directly dekhe ja sakte hain.

Procedure

  • Bone marrow aspiration karo (usually:

    • Posterior superior iliac spine

    • Sternum – rarely)

  • Clean glass slides par thin marrow smears banao

  • Smears ko air-dry hone do

  • Stain karo:

    • Wright stain

    • Giemsa stain

    • Leishman stain

  • Examine karo:

    • Low power (screening)

    • Oil immersion (confirmation)

Microscopic Findings

  • LE cells significant numbers mein mil sakte hain

  • Common findings:

    • Macrophages jisme large hematoxylin body hoti hai

    • Homogeneous, round, basophilic inclusion

  • Phagocyte ka apna nucleus:

    • Flattened hota hai

    • Periphery ki taraf pushed hota hai

Advantages

  • Peripheral blood se higher yield

  • Phagocytosis ka clear demonstration

  • Jab marrow exam already indicated ho tab useful

Limitations

  • Invasive procedure

  • Sirf LE cell detection ke liye ethically justified nahi

  • Skilled personnel required

  • SLE ke diagnosis ke liye obsolete

 


Clot Incubation Method

Principle

Jab patient ka blood clot hone diya jaata hai aur incubate kiya jaata hai, to leukocyte disruption se nuclear material release hota hai. Serum mein present ANA is material se bind karke immune complexes banati hain, jo neutrophils dwara phagocytose ho jaate hain aur LE cells bante hain.

Procedure

  • Venous blood plain tube mein collect karo (no anticoagulant)

  • Room temperature par clot hone do

  • Glass rod se clot ko gently disrupt karo

  • 37°C par 1–2 ghante incubate karo

  • Disrupted clot se smears banao

  • Wright/Giemsa stain karo aur oil immersion mein examine karo

Microscopic Findings

  • Peripheral smear ke comparison mein zyada LE cells

  • Neutrophils jisme homogeneous, basophilic hematoxylin body hoti hai

  • Cell ka nucleus periphery ki taraf displaced

Merits and Limitations

  • Merit: Peripheral smear se better sensitivity; simple setup

  • Limitations: Time-consuming; low specificity; largely obsolete

 


Indirect LE Cell Test

Principle

Yeh method LE cell formation ke antibody-mediated mechanism ko demonstrate karta hai. Patient ka serum (jisme ANA hoti hain) normal donor leukocytes ke saath incubate kiya jaata hai. Agar ANA present hoti hain, to woh exposed nuclear material se bind karke normal cells mein bhi LE cell formation kara deti hain.

Procedure

  • Suspected SLE patient se serum collect karo

  • Healthy donor se normal leukocytes lo

  • Patient serum ko donor leukocytes ke saath mix karo

  • 37°C par incubate karo

  • Smears banao aur Wright/Giemsa stain karo

Interpretation

  • Positive test: LE cells ka formation → circulating ANA present

  • Negative test: LE cells nahi → ANA absent ya detectable level se kam

Significance

  • Prove karta hai ki LE cell formation serum (antibody) dependent hai

  • Research aur teaching value; routine diagnosis mein use nahi hota

 


Diagnostic Significance


1. Association with Diseases

Disease Diagnostic Relevance
Systemic lupus erythematosus (SLE) Classically associated
Rheumatoid arthritis Occasional
Scleroderma Rare
Dermatomyositis Rare
Drug-induced lupus Sometimes

LE cells sabse zyada active SLE mein detect hote hain.


2. Indicator of Autoimmune Activity

  • ANA ki presence demonstrate karta hai

  • Immune complex formation reflect karta hai

  • Ongoing nuclear damage aur defective clearance indicate karta hai

  • Active autoimmune process suggest karta hai


3. Sensitivity and Specificity

Parameter Diagnostic Value
Sensitivity Low to moderate
Specificity Low
Screening utility Poor
Confirmatory role None

LE cells ka absence SLE ko exclude nahi karta.


4. Correlation with Disease Activity

  • Active disease mein zyada positive

  • Remission mein kam detect hota hai

  • Disease severity ke saath rough correlation


5. Reasons for Obsolescence

LE cell test ko modern immunological assays ne replace kar diya hai jo zyada accurate hain:

Modern Test Advantage
ANA (IIF) High sensitivity
Anti-dsDNA High specificity
Anti-Sm Diagnostic specificity
Complement levels Disease activity monitoring
Scroll to Top
Enable Notifications OK No thanks