Platelet count
Principle Total platelet count ek blood test hai jo blood mein platelets (thrombocytes) ki quantity measure karta hai. Platelets blood […]
Principle Total platelet count ek blood test hai jo blood mein platelets (thrombocytes) ki quantity measure karta hai. Platelets blood […]
Introduction Anticoagulants ek important role play karte hain blood samples ko fluid state mein banaye rakhne ke liye — jisse
Introduction Histopathology ka introduction yeh hai ki yeh pathology ka ek branch hai jisme biological tissues ka microscopic examination kiya
Introduction of Histopathology Read Post »
LANDAU Method Principle Erythrocyte Sedimentation Rate (ESR) ek non-specific test hai jo red blood cells (erythrocytes) ke ek vertical column
Erythrocyte Sedimentation Rate Read Post »
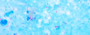
Principle AFB staining ka principle Mycobacterium bacteria ke cell walls ki unique properties pe based hai. In bacteria ke cell
Principle Reticulocytes immature red blood cells hote hain jinke andar abhi bhi RNA hota hai. Ye RNA special dyes se
Reticulocyte Count Read Post »
Principle Gram Staining ek differential staining technique hai jo Hans Christian Gram ne 1884 mein develop ki thi. Is technique
Introduction Quality control of clinical biochemistry laboratory healthcare ka ek essential hissa hai, jo medical decision-making ko influence karne wale
Quality control of clinical biochemistry laboratory Read Post »
Principle DLC ka principle hai blood smear ka microscopic examination, jise specific dyes (jaise Wright’s stain ya Giemsa stain) se
Determination of DLC Read Post »
Principle Total Leukocyte Count (TLC) ek diagnostic test hai jisme blood sample mein white blood cells (WBCs) ki total quantity
Total Leukocyte Count Read Post »